Kireçlenme Nedir(Artroz-Osteoartrit)

Halk arasında kireçlenme olarak bilinen hastalık ya da tıbbi adı ile “artroz” veya “osteoartrit” eklemlerde meydana gelen aşınma ve yıpranma sonucu ortaya çıkar. Kemiklerimizi birbirine bağlayan eklemlerimizde, karşılıklı kemik yüzeyleri üzerini kaplayan ve ağrısız ve kaygan hareketi sağlayan eklem kıkırdağı bulunur. Yıllar içinde bu parlak ve düzgün yüzeyli doku aşınır, eskir ve yer yer dökülerek altındaki kemik ortaya çıkar. Yaygın inanışın aksine, artrozda eklemlerde kireç birikmesi söz konusu değildir.Artroz en sık yük taşıyan eklemlerde görülür. En fazla diz eklemi olmak üzere, kalça, el parmakları ve omurga sık olarak tutulur. Buna karşın, özel bir yaralanma olmadığı müddetçe bilek, omuz, dirsek gibi eklemlerin tutulumu nadirdir.

Artroz’un belirtileri nelerdir?
Artrozun en önemli bulgusu ağrıdır. Önceleri eklemi kullanmakla artıp dinlenmekle geçen ağrılar, hastalık ilerledikçe kalıcı hala gelebilir. Eklemlerde şişlik, kemik çıkıntılar ve şekil bozuklukları ortaya çıkar. Kemik yüzeylerin birbirine sürtünmesi sonucu kıtırtı şeklinde sesler duyulabilir. Eklemlerin hareket açıklığı azalır ve tutulan eklemde işlev kaybı ortaya çıkar. Hareketin başlangıcında ağrı ve eklem sertliği daha fazladır. Hareket tekrar tekrar yapıldığında sertlikte bir miktar düzelme olur. Bu araba motorunun ısındıktan sonra daha iyi çalışmasına benzetilmiştir. Hastaların yakınmaları soğuk ve nemli havalarda daha da artar.
Diz eklemindeki en önemli belirti ağrıdır. Bunun dışında hareket kısıtlılığı, eklem sıvısının artmasına bağlı şişme, eklem çevresi kasların incelmesi ve diz eklemindeki aşınmaya bağlı olarak şekil bozukluğu görülebilir. Zaman içinde diz deforme olarak bacaklar içe doğru eğrilir. Eklem içinde serbest gezen kıkırdak veya kemik parçalarına bağlı olarak dizde takılma ve kilitlenme gibi belirtiler ortaya çıkabilir.
Risk faktörleri nelerdir?
Artroz için en önemli risk faktörü yaştır. 65 yaşın üzerindeki kişilerin üçte birinde röntgen grafileri ile saptanan artroz bulguları vardır. Obezite en önemli faktörlerden birisidir. Yaştan bağımsız olarak obez kişilerde artroz riski erkeklerde 2 misli, kadınlarda 3 misli artar. Bilinmeyen nedenlerden dolayı kadınlarda artroz erkeklere oranla iki misli daha sık görülür. Ailevi birtakım faktörlerin de olduğu düşünülmektedir.
Elit düzeyde futbol ve tenis oynayanlar ve uzun mesafe koşucularında da, diz eklemlerinden hiçbir yaralanma veya ameliyat geçirmemiş olsalar bile artroz riski yüksektir. Bunun nedeninin aşırı kullanım olduğu düşünülmektedir.
Bu risk faktörleri dışında eklem kıkırdağına zarar verebilecek bütün hastalık ve yaralanmalar, artroza zemin hazırlayabilir. Eklemi ilgilendiren kırıklar, tedavi edilmemiş menisküs ve bağ yaralanmaları, gut hastalığında eklemde ürik asit birikmesi, mikroplu ve mikropsuz iltahaplar, hemofili hastalığında tekrarlayan eklem içi kanamalar gibi birçok nedene bağlı olarak eklemde artroz meydana gelebilir.

Artrozdan korunmak için ne yapılmalıdır?
Eklemlerde artroz oluşmasını önlemek için en önemli faktör obeziteden kaçınmaktır. Yürüme sırasında vücut ağırlığının 3 ila 6 misli diz eklemine biner, bu nedenle bir kilo fazla bile olsa bu dize 6 kg olarak yansıyacaktır. Aşırı kiloların eklemde oluşturduğu anormal yükler, kıkırdak dokusunda geri dönüşü olmayan hasarlara yol açar ve beklenenden çok daha erken yaşta artroz görülmesine neden olur. Hastalık başladıktan sonra da kilo vermek çok önemlidir, kilo vererek hastalığın ilerlemesi yavaşlatılabilir ve yakınmalar azaltılabilir.
Düzenli ve zorlayıcı olmayan egzersizler eklem sağlığı için önemlidir. Haftada 5 kez 20-30 dakikalık düşük yoğunluklu egzersiz, hem genel sağlık hem de eklem sağlığı için faydalıdır. Yüzme, yürüyüş, bisiklet, golf gibi sporlar ileri yaşlarda bile yapılabilir.
Eklem yaralanmaları uygun şekilde tedavi edilmelidir. Eklemi ilgilendiren kırıklar doğru tedavi edilmeli, menisküs ve çapraz bağ yaralanmaları zaman geçirmeden düzeltilmelidir. Osteoporozu (Kemik erimesi) engellemek için uygun Kalsiyum desteği ve gerektiğinde hormon kullanımı önemlidir. Osteoporoza bağlı gelişen kemiklerin şekil bozuklukları, (örneğin bacak eğrilikleri), eklemin bir bölgesine aşırı yük bindirip erken aşınmalara yol açabilir.
Belirli meslekler ve sporlarda, tekrarlayıcı zorlayıcı hareketler ve uygun olmayan pozisyonlarda uzun süre kalmak, eklem sağlığını olumsuz etkiler. Uzun süreli çömelme pozisyonunda çalışan ve ağır kaldıran madencilerde diz ekleminde, haltercilerde bel ve köprücük kemiğinin uç ekleminde, kırıcı delici kullanan işçilerin omuz ekleminde aşınmalar görülebilir.
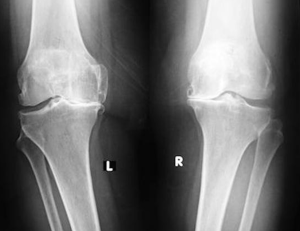
Tanı nasıl konulur?
Artrozun tanısı oldukça kolaydır. Doktorunuz size bazı sorular sorduktan sonra muayene eder. Bu sırada, geçirilmiş olan kaza, yaralanma ve ameliyatlarınızı mutlaka doktorunuza bildirmeniz gerekir. Çoğu zaman basit bir röntgen grafisi ile tanı konabilir. Erken artroz durumlarında röntgen grafileri normal olabilir, bu durumda MRG (manyetik rezonans görüntüleme) yararlı olabilir. Artrozda genellikle kan testleri normaldir, ancak başka hastalıkları ayırd edilmesi için kan testleri gerekli olabilir.






